病理解析センター

実験動物における異常所見の病理学的解析は、原因追求には必要不可欠な検査であり、とくに感染症の確定診断には、原因となる病原体の検索・同定は微生物検査とともに組織内での病原体の証明が重要となります。また感染症以外に、自然発症腫瘍、炎症および異種細胞(ヒト細胞など)の病理学的診断も行っています。病理標本作製は、H&E染色をはじめ各種特殊染色および免疫染色による対応も可能となっています。免疫染色は、自動免疫染色装置(Bond-Max)を使用し、自動化を行っています。

【業務内容】

病理標本作製

  1. ホルマリン固定パラフィンブロック作製
  2. 凍結標本作製
  3. 培養細胞からのセルブロック作製
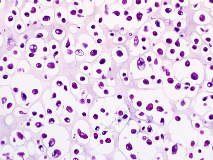
ヒト培養細胞からの
セルブロックH&E染色
ヒト培養細胞の増殖能
(Ki-67染色)

染色

  1. H&E染色標本作製
  2. 各種特殊染色標本作製
  3. 各種免疫染色標本作製
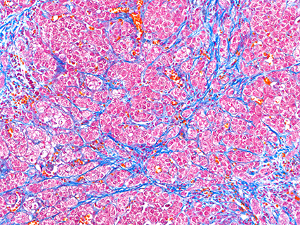
Azan染色(マウス肝臓)
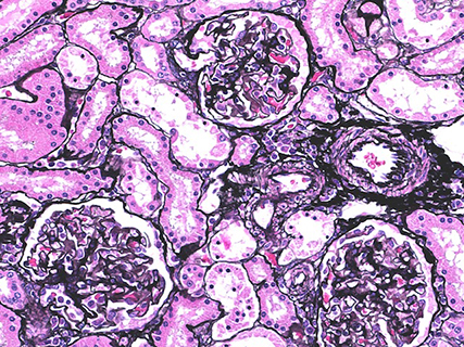
PAM染色(マーモセット腎臓)
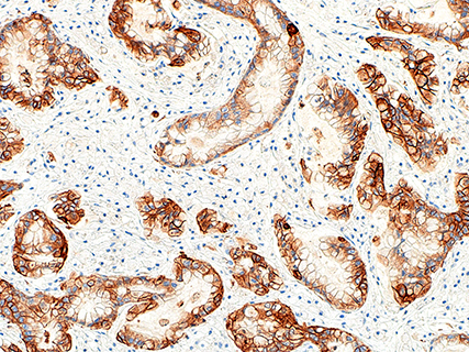
抗HLA染色(免疫染色)
(ゼノグラフト)

病理診断

  1. 各種実験動物における組織学的評価
  2. ヒト細胞移植マウスにおけるヒト細胞解析
  3. 学会・論文投稿用写真撮影など
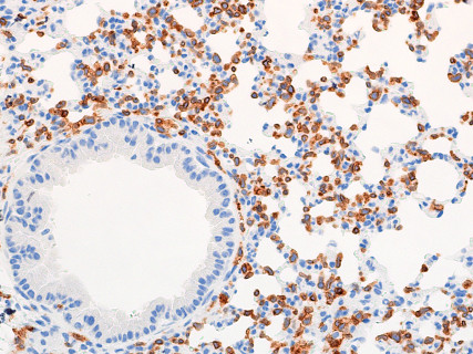
抗ヒトCD3染色(免疫染色)
(NOGマウス)
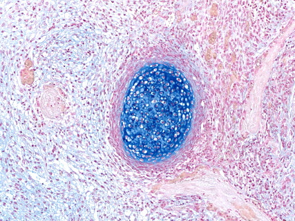
Alcian blue染色
(マーモセットiPS細胞)
抗TH染色(免疫染色)
(マーモセット脳)
お問い合わせはこちら

PAGE TOP

Copyright © Central Institute for Experimental Medicine and Life Science